
The Little Warrior: How a Young Girl Made Medical History at Children’s Wisconsin
To meet 9-year-old Kaylee Meyer, is to be in awe of her. So full of energy and positivity, selflessness and kindness, you’d never know her life was anything but a fairy tale.
You’d never know of all the sickness, hospital admissions and surgeries that threatened her childhood.
You’d never know that beneath her long, brown hair lies a 10-inch scar that curves up from her left ear to the top of her forehead.
“She's truly a little miracle lady,” said her mom, Stephanie.
Kaylee’s story starts in December 2016, when she was about 9 months old. Around the time when babies start to roll over, sit up and stand, Kaylee struggled to move her legs. She was also getting sick a lot, with regular vomiting and fatigue. Doctor after doctor thought it was just a virus and told Stephanie and her husband, Matthew, to just keep pushing fluids and it would run its course. But it never did.
“We were at a point where we were syringing Pedialyte into her mouth because she would not eat anything,” said Stephanie. “She couldn't keep anything down.”
After several months of no answers, they brought Kaylee into the Children’s Wisconsin Emergency Department. They ran a variety of different tests on Kaylee — bloodwork, ultrasounds, a swallow study, urinalysis.
“We literally spent a whole day at Children's Wisconsin doing all these different tests.”
But none of them showed anything that would explain Kaylee’s symptoms. Back home that night, Kaylee was inconsolable. And Stephanie and Matthew were at a loss for what to do.
“As a parent,” said Stephanie, “you just feel so defeated.”
They decided to take Kaylee back to the Children’s Wisconsin Emergency Department. A young resident who had seen Kaylee the week prior remembered them.
“He was like her guardian angel,” said Stephanie. “He comes in and he says, ‘I remember you from last weekend and I regret not doing a CT scan of her head.’ I said, ‘Okay, let's do this.’”
Not even 10 minutes later, the resident came back into the room to deliver the news: Kaylee has a large tumor in her brain.
In that moment, everything went white.
The First Surgery
Kaylee was admitted to Children’s Wisconsin and specialists from the MACC Fund Center for Cancer and Blood Disorders, the Neurosciences Center and Surgery all came and went in a blur.
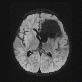
An MRI gave more details. Kaylee had three cavernous malformations on the left side of her brain — one the size of a baseball and two about a cherry. These abnormal clusters of blood vessels are not cancerous but can cause a host of neurological disorders, everything from dizziness and weakness to seizures and stroke.
“They’re usually not life threatening, although in the most extreme cases they can be,” said Sean Lew, MD, a Pediatric Neurosurgeon at Children’s Wisconsin. “But they can damage the brain and cause deficits.”
While most cavernous malformations develop randomly, about 20% are genetic. Kaylee was part of the 20%. Blood tests showed that Kaylee had a mutated KRIT-1 gene. Neither Stephanie nor Matthew’s family had any history, but blood work showed that Stephanie had the mutated gene as well. In fact, she also has several cavernous malformations in her brain, but they have never caused any symptoms.
Kaylee was diagnosed on Saturday, May 13, 2017 — her dad’s birthday. Two days later, she was having brain surgery.
Bruce Kaufman, MD, a Pediatric Neurosurgeon at Children’s Wisconsin, made an incision from above Kaylee’s left ear, up her head to the top of her forehead. He removed a portion of her skull and cut out the malformations.
Before the surgery, Kaylee could barely move her legs. Six months after, she was walking.
An Unexpected Twist
Following Kaylee’s brain surgery, life pretty much went back to normal. She started taking anti-seizure medication, a standard protocol following brain surgery, but was quickly weaned off. She had regular follow-up visits, MRIs and had annual EEGs. For years, everything was looking good.
“She was thriving,” said Stephanie. “She graduated from therapy. She was going to preschool. She was living her life as a normal little girl.”
Until one day, she wasn’t.
In December 2022, Matthew took Kaylee in for her annual EEG, expecting it to be fine like all the rest had been. Later that day, Stephanie’s phone rang. It was a FaceTime call from Matthew.
“He said, ‘I need to talk to you. The doctor said Kaylee is having seizures.’”
Suddenly Stephanie recalled all the times Kaylee would seem to be daydreaming or not listening and it all now made sense. She was having what are called absence seizures. Different from the intense convulsions most people imagine when they think of seizures, absence seizures look like brief moments of staring into space.
Kaylee began taking anti-seizure medication again, which helped only a little. So, she started a second medication. But it wasn’t very effective either. That’s when Kaylee’s care team started discussing another surgery.
Jennifer Koop, PhD, is a Clinical Neuropsychologist in the Children’s Wisconsin Neurosciences Center. She began meeting with Kaylee to evaluate her brain’s function and what impact, if any, the seizures were having.
“She was pretty typical in most things,” said Dr. Koop, who is also a Professor of Neurology at the Medical College of Wisconsin, the academic partner of Children’s Wisconsin. “Her language abilities were solidly average, and a couple visual spatial skills were in the low average range. So, no evidence of significant cognitive impairment. This was important because it indicated that even though her seizures were coming from the left side of her brain, which usually controls language, the seizure zone was not directly involved in language functions.”
That coupled with her overall personality and demeanor — nothing really fazes her — made her a good candidate for a unique surgery.
“The whole team came together to look at the case and figure out what would be best for Kaylee,” said Stephanie. “That’s when we decided to move forward with another surgery.”
Making Medical History
This second surgery, performed on April 15, 2024, was a little different from the first. Dr. Lew, and fellow Pediatric Neurosurgeon Elsa Arocho-Quinones, MD, used the same incision that had been made earlier and removed a slightly larger portion of her skull. But for the next phase of the surgery, Pediatric Anesthesiologist Megan Jablonski, MD, woke Kaylee up.
The procedure is called an awake craniotomy, and it’s done so the surgeon can precisely remove damaged parts of the brain. For about 20 minutes, while Dr. Lew removed parts of the brain that had seizure activity, Dr. Koop had Kaylee look at different images and say different words. This helped Dr. Lew identify exactly how much damaged tissue he could remove without causing any damage to Kaylee’s cognitive function. The brain has no pain receptors, so even though Kaylee was wide awake, she didn’t feel anything.
“I had her tell me the alphabet or the months of the year just to make sure that her fluency and pronunciation were remaining stable and that she was understanding the questions I was asking,” said Dr. Koop. “If we were to see a change in her functional status, that would be an indication to not go any further with the resection.”
These surgeries are rare — just one or two are performed every year at Children’s Wisconsin. Rarer still is one performed on someone so young. In fact, just a few weeks past her 8th birthday, Kaylee was likely the youngest person to undergo an awake craniotomy in the United States. Despite that history making milestone, Stephanie and Matthew didn’t hesitate. They knew Dr. Koop and the whole neurosciences team only had Kaylee’s best interests in mind.
“Most kids would be too overwhelmed or too distressed. But Kaylee was a great candidate. She's super engaging. And she’s just an easy-going kid. She didn't get distressed about many things. She actually kind of thought it was cool. Mom was a little more freaked out,” said Dr. Koop. “That’s one of the benefits of our multidisciplinary epilepsy surgery program. We get to know these kids and families really, really well before they go to surgery. They get to build up trust with our team. I have been seeing Kaylee for about five years and we spend a lot of time together. They trusted us.”
Dr. Lew agrees.
“I don't think 99 out of 100 other hospitals would do this,” said Dr. Lew, who is also a Professor of Neurosurgery at the Medical College of Wisconsin. “They either wouldn’t think it was possible or they don’t have somebody like Dr. Koop to build that relationship and get that level of trust. There's a lot of investment on the neuropsychologist side. Of course, Kaylee is a pretty exceptional kid, too.”
There’s no denying that. Just two weeks after surgery, Kaylee was back at school.
Now, more than a year later, Kaylee is doing great. She’s been 100% seizure-free and she’s living her life without any limitations. She jumped in the pool the second Dr. Koop said it was okay. She loves to go dirt biking with her two younger siblings — she never needed training wheels, she’s quick to say. And though she doesn’t yet know how to ice skate, she’s intent on playing hockey with her cousin and she’s excited about being the only girl on the team.
She has big dreams. And her parents know better than to ever doubt her.
“Whatever she wants to do, she’ll do it,” said Stephanie. “And this little lady wants to do it all.”
Children's Wisconsin Resources

Written by
Evan Solochek
Writer
Related Stories
No related articles found.



